The Korean Journal of Internal Medicine

Search

Close

Lu, Zhang, and Huang: An unusual cause of pneumonia: Strongyloides stercoralis infection

An unusual cause of pneumonia: Strongyloides stercoralis infection

Chun-Jing Lu1, Jin-Yan Zhang2,3, Wei-Feng Huang2,3
Received February 7, 2023;       Revised February 14, 2023;       Accepted March 3, 2023;
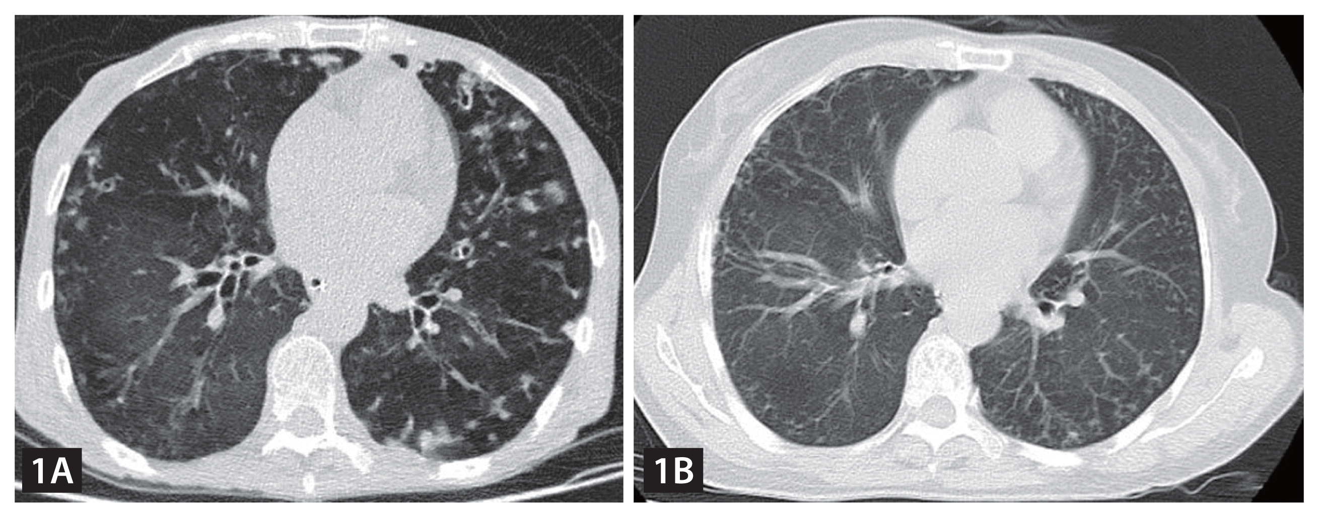
A 62-year-old woman presented with a 3-year history of recurrent wheezing, coughing, sputum production, and 10-kg weight loss. Before this hospitalization, she has had repeated hospital admissions due to the above-mentioned complaint. Skin examination revealed no abnormalities. Pulmonary auscultation revealed bilateral wet rales in the lower lung fields. Laboratory values disclosed neutrophilia (10,610/μL), normocytic anemia (7.9 g/dL), hypoalbuminemia (27.4 g/L) and elevated inflammatory markers (C-reactive protein of 41.98 mg/L), without eosinophilia (390/μL). Chest computed tomography (CT) indicated diffuse lung inflammation (Fig. 1A). She was started on antibiotic therapy, but the condition didn’t improve. Due to the history of recurrent unexplained pneumonia and poor response to antibiotic therapy, parasitic infections were suspected. Hence, multiple stool parasite examinations were performed and revealed nematode larvae (Fig. 2A). We also detected nematode larvae in sputum (Fig. 2B, Gram staining) and vomitus specimens (video). Subsequently, strongyloides ELISA blood test was executed and the result was positive. Based on the above findings, the patient was diagnosed with Strongyloides stercoralis hyperinfection syndrome. She was initiated on oral ivermectin at 200 μg/kg once daily for 6 weeks. Fortunately, her condition gradually improved over the following month. A follow-up chest CT scan showed significant improvement of the lesions (Fig. 1B). No recurrences have been observed during 2 years of follow-up.
Strongyloides stercoralis has the unique ability to replicate within the human host, resulting in a subclinical autoinfection cycle that can persist for decades after exposure [1]. Under some immunocompromised conditions including human immunodeficiency virus infection, immunosuppressive drug, renal transplantations and malnutrition, this can lead to hyperinfection that is characterized by marked increment in the number of worms as well as detection of worms in extraintestinal sites, especially the lungs—hyperinfection syndrome [2], as seen in our case.
Supplementary Information
Supplementary Information
Notes
Notes

CRedit authorship contributions

Chun-Jing Lu: writing - original draft; Jin-Yan Zhang: writing - review & editing; Wei-Feng Huang: writing - review & editing

Conflicts of Interest
Conflicts of Interest

Conflicts of interest

The authors disclose no conflicts.

Notes
Notes

Funding

This work was supported by the Medical and Health Guiding Project of Xiamen (3502Z20214ZD1028 and 3502Z20224ZD1009).

Figure 1
Chest computed tomography (CT) scan of the patient. (A) Chest CT indicated diffuse lung inflammation. (B) Follow-up chest CT scan showed significant improvement of the lesions.
kjim-2023-064f1.gif
Figure 2
(A, B) Stool and sputum parasite examinations revealing nematode larvae (400×, gram staining).
kjim-2023-064f2.gif
References
References

1. Siddiqui AA, Berk SL. Diagnosis of Strongyloides stercoralis infection. Clin Infect Dis 2001;33:1040–1047.
[Article] [PubMed]
2. Puerta-Peña M, Calleja Algarra A. Larva currens in strongyloides hyperinfection syndrome. N Engl J Med 2022;386:1559.
[Article] [PubMed]
hanmi Memo patch yungjin
daewoongbio ics samyangbiopharm

Go to Top