The Korean Journal of Internal Medicine

Search

Close

Beck, Sung, Hong, Moon, and Kang: Diffuse pleural thickening with nodularity in a healthy young woman

Diffuse pleural thickening with nodularity in a healthy young woman

Kyongmin Sarah Beck1, Yeoun Eun Sung2, Sook Hee Hong3, Seok Hwan Moon4, Ji Young Kang5
Received November 13, 2022;       Revised November 17, 2022;       Accepted December 7, 2022;
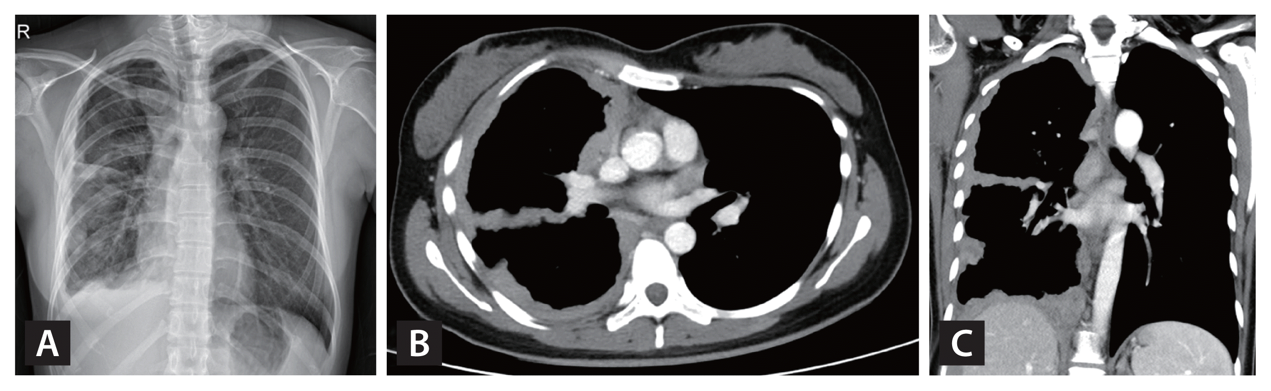
A 26-year-old woman presented to our hospital f or radiologically abnormal pleural lesions at a health check-up. She was asymptomatic with normal laboratory findings. A chest X-ray showed diffuse nodular pleural thickening in the right hemithorax (Fig. 1A). On computed tomography (CT), the extensive pleural thickening involved interlobar fissures and the diaphragmatic pleura, combined with multiple lymphadenopathies in the mediastinum and the anterior diaphragmatic area (Fig. 1B and 1C). These lesions had increased 18F-fluorodeoxyglucose (FDG) uptake on positron emission tomography-computed tomography (PET-CT) (Fig. 2A–2C), suggesting pleural malignancy such as mesothelioma. Chest magnetic resonance imaging (MRI) with enhancement revealed that the pleural lesions showed moderate enhancement after contrast infusion and diffusion restriction on diffusion-weighted images (Fig. 2D and 2E). For a definite diagnosis, video-assisted thoracoscopic pleural biopsy was done. The lesion had chronic granulomatous inflammation with multi-nucleated giant cells with a negative PCR result for Mycobacterium tuberculosis/ non-tuberculous mycobacterium and a few acid-fast bacilli in Ziehl-Neelsen stain. Finally, M. tuberculosis was cultured in bronchial specimens.
The common manifestation of pleural tuberculosis (TB) is unilateral effusion with corresponding symptoms such as cough or chest discomfort. Pleural thickening or fibrothorax usually develops in progression or as a sequelae of TB effusion. The fact that our patient had no symptoms and the peculiar chest lesions of nodular and circumferential pleural thickening without effusion involving the mediastinal pleura and interlobar fissures on CT pointed to pleural malignancy rather than pleural TB. Diffusion restriction on chest MRI and increased FDG uptake on PET-CT further supported malignant disease in this case. After standard anti-TB treatment, the pleural lesions gradually improved. Clinicians should consider the possibility of pleural TB, even in cases of diffuse nodular thickening mimicking pleural malignancy, especially in a situation relevant to TB.
Informed consent for publication was obtained from the patient.
Notes
Notes

CRedit authorship contributions

Kyongmin Sarah Beck: conceptualization, data curation, formal analysis, writing - original draft; Yeoun Eun Sung: data curation, formal analysis, writing - original draft; Sook Hee Hong: data curation, formal analysis, writing - review & editing; Seok Hwan Moon: data curation, formal analysis, writing - review & editing; Ji Young Kang: conceptualization, writing - original draft, writing - review & editing

Conflicts of Interest
Conflicts of Interest

Conflicts of interest

The authors disclose no conflicts.

Notes
Notes

Funding

None

Figure 1
Chest X-ray and computed tomography (CT) images on admission (A, B, C). Chest X-ray (A) showed diffuse nodular pleural thickening in the right hemithorax with decreased volume of the right lung. Axial (B) and coronal (C) images of chest CT with enhancement show circumferential nodular pleural thickening in the right hemithorax, involving interlobar fissures and the diaphragmatic pleura.
kjim-2022-355f1.gif
Figure 2
Positron emission tomography-computed tomography (PET-CT) and chest magnetic resonance imaging (MRI) of the patient (A–E). On PET-CT, maximum intensity projection image shows increased 18F-fluorodeoxyglucose uptake (maximum standardized uptake value, 21.9) along the nodular right pleural thickening and the enlarged lymph nodes (A, B, C). Diffusion-weighted image (D) and apparent diffusion coefficient map (E) on MRI of the chest with enhancement show diffusion restriction of the circumferential nodular pleural thickening in the right hemithorax.
kjim-2022-355f2.gif
hanmi Memo patch yungjin
daewoongbio ics samyangbiopharm

Go to Top